生命通道的守护者:和济乳甲外科成功为巨大甲状腺肿瘤患者解除“呼吸之困”
近日,我院甲状腺外科再次成功完成一例高难度、高风险巨大甲状腺肿瘤切除手术。
“巨石”压身,生命通道几近阻塞
患者王先生(化名)近半年来一直被进行性加重的“吞咽困难”和“呼吸困难”所困扰,感觉喉咙仿佛被一只无形的手紧紧扼住,连平躺都成了一种奢望。经人推荐,他来到我院乳腺甲状腺外科求助。



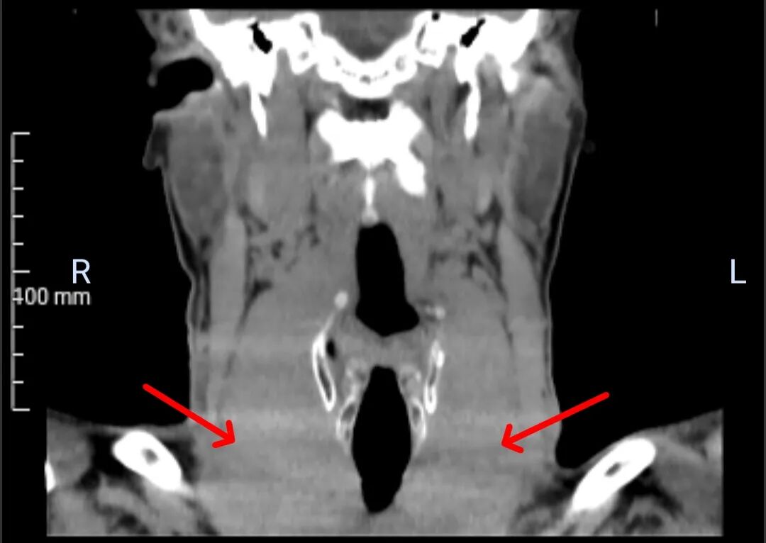
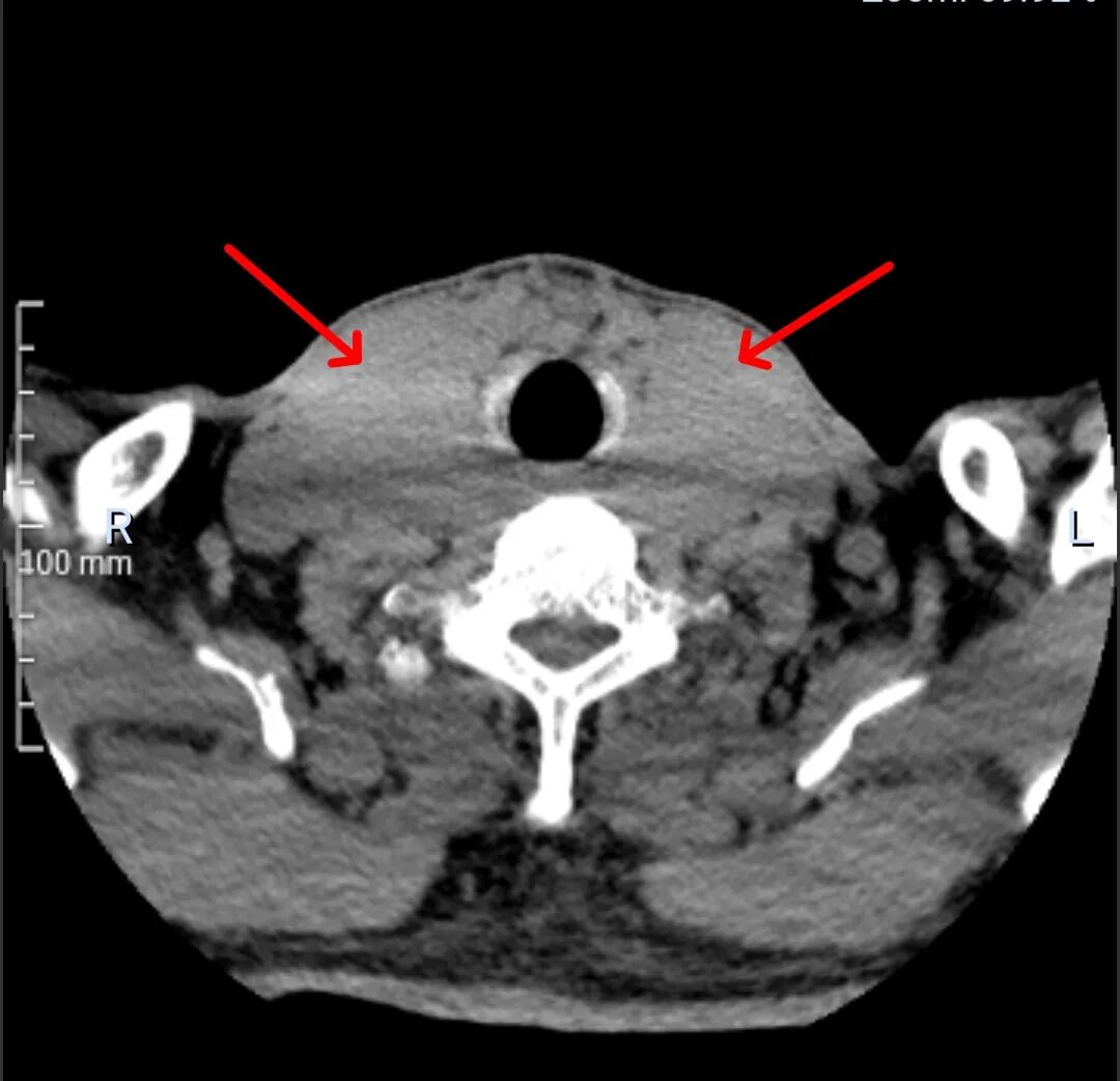
术前CT检查结果令人震惊:患者一侧甲状腺肿瘤直径已达9cm,另一侧更是巨大,直径10cm!如此巨大的肿瘤,手术难度和风险呈几何级数攀升。这无疑是一枚埋在颈部的“定时炸弹”,时刻威胁着患者的生命安全。
迎难而上,精湛技术化解“头颈禁区”
面对如此复杂棘手的病例,以郭建猛主任为首的医疗团队没有退缩,术前对患者的病情进行了深入分析和全面评估。手术是解除压迫、挽救生命的唯一有效方式。但手术之路布满荆棘:
视野极差:肿瘤巨大,正常解剖结构被严重推挤、遮盖。
血运丰富:甲状腺组织血供丰富,巨大肿瘤更是如此,术中极易发生难以控制的大出血。
神经保护难:喉返神经、喉上神经等重要结构被肿瘤包裹或紧密粘连,损伤风险极高,可能导致术后声音嘶哑、饮水呛咳等严重并发症。
气管塌陷风险:长期受压的气管可能在肿瘤切除后失去支撑而塌陷,引发窒息。
柳暗花明,一场高难度的生命保卫战告捷
经过周密详尽的术前准备,手术如期进行。术中情况果然如预判般艰难,肿瘤与周围组织“纠缠不清”,主刀医生郭建猛主任凭借其娴熟的解剖知识、精湛的手术技巧和沉稳的心理素质,在手术团队、麻醉团队和护理团队的紧密配合下,巨大的肿瘤被完整、安全地切除。所有重要神经和甲状旁腺均得以保留!
大拇指,是最好的赞美与肯定
当麻醉药效过后他做的第一件事,就是下意识地摸了摸自己原本被肿瘤撑得粗大的颈部,随后深深地、顺畅地吸了一口气——那种久违的、自由呼吸的感觉让他激动不已。
他无法立即用言语表达,但所有的感激与喜悦都凝聚在了他高高竖起的大拇指上!这个无声的动作,是对所有参与救治的医护人员最高的褒奖,也是对我们医疗技术最直接的肯定。目前,王先生恢复良好,呼吸、吞咽功能均已恢复正常,不日即可康复出院。
匠心守护,我们一直在路上
对于常人而言,一次顺畅的呼吸、一口轻松的吞咽是再平常不过的事,但对于巨大甲状腺肿瘤患者来说,这却是他们梦寐以求的奢望。我们深知,每一个病例的背后,都是一个家庭的期盼。生命相托,永不言弃,我院乳腺甲状腺外科全体医护人员将继续秉承这一信念,勇攀技术高峰,用责任与担当守护每一位患者的“生命通道”。
文/图:原美钰
初审:郭建猛
复审:石磊
终审:杨艳
